华西口腔医学杂志 ›› 2026, Vol. 44 ›› Issue (2): 240-250.doi: 10.7518/hxkq.2026.2025287

• 基础研究 • 上一篇    

水飞蓟宾在小鼠牙周炎引发的肾损伤中的作用机制研究

胡梦婷1(), 商雅琦1, 车贞贞1, 刘歆婵2, 邓愉1, 于维先1,3,4()   

  1. 1.吉林大学白求恩口腔医院牙周病科,长春 130021
    2.吉林大学白求恩口腔医院VIP综合科,长春 130021
    3.吉林大学白求恩口腔医院老年口腔科,长春 130021
    4.吉林省牙发育及颌骨重塑与再生重点实验室,长春 130021
  • 收稿日期:2025-07-11 出版日期:2026-04-01 发布日期:2026-03-31
  • 通讯作者: 于维先 E-mail:humt23@mails.jlu.edu.cn;ywx@jlu.edu.cn
  • 作者简介:胡梦婷,硕士,E-mail:humt23@mails.jlu.edu.cn
  • 基金资助:
    吉林大学白求恩计划项目(2025B16);吉林省财政厅科技项目(jcsz2023481-16)

Mechanism of silibinin in renal injury induced by periodontitis in mice

Hu Mengting1(), Shang Yaqi1, Che Zhenzhen1, Liu Xinchan2, Deng Yu1, Yu Weixian1,3,4()   

  1. 1.Dept. of Periodontology, Bethune Stomatological Hospital, Jilin University, Changchun 130021, China
    2.Dept. of VIP Synthesis, Bethune Stomatological Hospital, Jilin University, Changchun 130021, China
    3.Dept. of Geriatrics, Be-thune Stomatological Hospital, Jilin University, Changchun 130021, China
    4.Jilin Provincial Key Laboratory of Tooth Development and Bone Remodeling, Changchun 130021, China
  • Received:2025-07-11 Online:2026-04-01 Published:2026-03-31
  • Contact: Yu Weixian E-mail:humt23@mails.jlu.edu.cn;ywx@jlu.edu.cn
  • Supported by:
    Jilin University Bethune Plan Project(2025B16);Science and Technology Project of Jilin Provincial Department of Finance(jcsz2023481-16)

摘要:

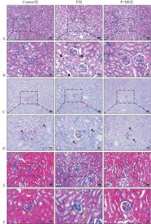
目的 探索水飞蓟宾在牙周炎引发的肾损伤中的作用及机制。 方法 将24只雄性C57BL/6J小鼠随机分为3组,分别为正常对照(Control)组、牙周炎(P)组及牙周炎+水飞蓟宾干预(P+SB)组,每组8只。通过7-0丝线结扎上颌第二磨牙颈部,建立牙周炎动物模型,利用苏木精-伊红(HE)、Masson染色及Micro-CT技术多角度验证牙周炎模型构建成功。通过HE染色、过碘酸雪夫(PAS)染色和Masson染色检测肾脏组织学变化,通过透射电子显微镜观察超微结构,检测血液生化指标等方法多方位评估肾脏损伤程度。通过检测肾脏组织氧化应激指标及MitoSOX Red荧光染色,观察肾脏组织内氧化与抗氧化的平衡。采用定量逆转录聚合酶链反应技术检测哺乳动物雷帕霉素靶蛋白(mTOR)mRNA的表达,并结合免疫组织化学染色,进一步明确mTOR在小鼠肾脏组织中的定位及表达水平。 结果 与Control组相比,P组小鼠第二磨牙周围牙龈炎症及破坏明显,牙槽骨出现明显吸收,具体表现为骨体积分数(BV/TV)和骨小梁厚度(Tb.Th)降低,骨小梁间距(Tb.Sp)增宽,同时肾脏组织呈现肾小球鲍曼囊腔增宽、肾小管上皮细胞脱落、足突形态破坏、线粒体肿胀、线粒体嵴消失等肾脏损伤迹象,并伴有丙二醛(MDA)含量显著上升,谷胱甘肽(GSH)和超氧化物歧化酶(SOD)活性下降,mTOR信号通路激活。相比之下,P+SB组小鼠牙龈及牙槽骨破坏程度明显减轻,肾脏损伤情况得到有效缓解,MDA水平降低,SOD和GSH活性恢复,并伴有mTOR信号通路显著抑制。 结论 水飞蓟宾可能通过调控mTOR信号通路,有效减轻肾脏组织的氧化应激损伤,进而对牙周炎引发的肾损伤起到明显的缓解作用。

关键词: 牙周炎, 氧化应激, 肾损伤, 水飞蓟宾, 哺乳动物雷帕霉素靶蛋白信号通路

Abstract:

Objective This study aimed to explore the role and mechanism of silibinin in renal injury induced by periodontitis. Methods Twenty-four male C57BL/6J mice were randomly divided into three groups: normal control (Control), periodontitis (P), and periodontitis+silibinbin intervention (P+SB). Ligation with 7-0 silk thread around the maxillary second molar’s neck was performed to generate a periodontitis animal model. Hematoxylin-eosin (HE), Masson staining, and micro-CT techniques were used to verify the successful construction of the periodontitis model. Renal injury degree was evaluated by renal histological exa-mination (HE, periodic acid-schiff, and Masson staining), ultrastructure observation under a transmission electron microscope, and blood biochemical index detection. The balance of oxidation and antioxidation in kidney tissue was observed by detecting the index of oxidative stress and MitoSOX Red fluorescence staining. The mRNA expression of mammalian target of rapamycin (mTOR) was detected by quantitative reverse transcription polymerase chain, and the localization and expression of mTOR in mouse kidney was further clarified using immunohistochemical staining. Results Compared with that in the Control group, gingival destruction and inflammation around the second molar were more evident in the P group. The alveolar bone was absorbed remarkably, as characterized by a decrease in bone volume fraction (BV/TV) and trabecular thickness and the widening of trabecular spacing. Renal tissue showed signs of renal injury, such as widening of Bowman space, exfoliation of renal tubular epithelial cells, morphological destruction of foot process, swel-ling of mitochondria, and disappearance of mitochondrial crest, accompanied with a significant increase in malondialdehyde (MDA) level, a decrease in glutathione (GSH) and superoxide dismutase (SOD) activities, and the activation of mTOR signal pathway. In the P+SB group, the destruction of gingiva and alveolar bone was significantly reduced, kidney injury was effectively alleviated, the MDA level decreased, SOD and GSH activities were recovered, and the mTOR signal pathway was significantly inhibited. Conclusion Silibinin can effectively alleviate the oxidative stress injury of kidney and alleviate the renal injury caused by periodontitis by regulating the mTOR signal pathway.

Key words: periodontitis, oxidative stress, kidney injury, silibinin, mammalian target of rapamycin signal pathway

中图分类号: