华西口腔医学杂志 ›› 2026, Vol. 44 ›› Issue (1): 9-16.doi: 10.7518/hxkq.2026.2025346

• 口腔正畸学诊疗新进展 • 上一篇    下一篇

隐形矫治技术在多学科复杂病例中的应用

赖文莉()   

  1. 口腔疾病防治全国重点实验室 国家口腔医学中心 口腔疾病国家临床医学研究中心 四川大学华西口腔医院正畸科,成都 610041
  • 收稿日期:2025-08-25 出版日期:2026-02-01 发布日期:2026-02-02
  • 通讯作者: 赖文莉 E-mail:767412365@qq.com
  • 作者简介:赖文莉,教授,博士,博士生导师,日本新潟大学博士后,现为四川大学华西口腔医学院正畸系主任。兼任四川省口腔医学会口腔镇静镇痛专业委员会主任委员、口腔正畸专业委员会副主任委员,中华口腔医学会正畸专业委员会委员,国际牙医师学院Fellow,四川省卫生健康英才计划首席专家。《国际口腔医学杂志》常务编委,European Journal of Orthodontics编委。发表论文170余篇,总引用4 566次,H指数37。《口腔正畸隐适美隐形矫治技术》主编。临床特色:擅长使用隐形矫治治疗各类错畸形,包括早期矫治、成人矫治、多学科联合治疗等。|赖文莉,教授,博士,E-mail:767412365@qq.com

Discussion on the application of clear aligner treatment in multidisciplinary complex cases

Lai Wenli()   

  1. State Key Laboratory of Oral Diseases & National Center for Stomatology & National Clinical Research Center for Oral Diseases & Dept. of Orthodontics, West China Hospital of Stomatology, Sichuan University, Chengdu 610041, China
  • Received:2025-08-25 Online:2026-02-01 Published:2026-02-02
  • Contact: Lai Wenli E-mail:767412365@qq.com

摘要:

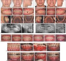
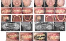
隐形矫治技术发展20多年,已从单纯的牙齿排齐工具发展为多学科口腔治疗的核心手段,尤其在牙周病正畸治疗、颞下颌关节紊乱病(TMD)正畸治疗、修复种植正畸联合治疗及正畸正颌联合治疗中展现显著优势。牙周病正畸治疗的目标是促进健康与稳定。建议牙周炎症控制后介入正畸治疗,实行轻力渐进原则,减少牙移动步距,减少隐形矫治器包裹,延长牙套替换时间。TMD正畸治疗的目标是咬合—关节协调,解除咬合创伤,稳定关节功能,排齐牙列,改善咬合。正畸介入时机仅适于稳定期TMD,强调多学科联合管理,患者正畸治疗的知情同意非常重要。修复种植正畸联合治疗的目标是空间与美学整合。隐形矫治的数字化设计可集中间隙,拓展修复种植空间,压低伸长对颌牙,直立倾斜的基牙,为修复种植提供理想的𬌗龈距离及近远中径,配合微笑设计等提升红白美学指数。严重骨性畸形的正畸正颌联合治疗可实现正畸—手术精准协同。隐形矫治数字化设计,上下牙弓宽度匹配相对固定矫治更容易实现,有效减少椅旁操作时间,提升矫治效率。目前隐形矫治在多学科领域里的应用还相对有限,高质量研究也不多,期待未来有更多高质量的研究以提高对隐形矫治的认识,让更多患者能精准高效地完成隐形矫治。

关键词: 隐形矫治技术, 牙周炎, 颞下颌关节紊乱病, 修复, 正颌外科, 数字化

Abstract:

Clear aligner treatment has evolved over the last 20 years. It has transformed from a simple tool for tooth alignment to an essential component of multidisciplinary oral treatment. It has shown significant advantages in the orthodontic treatment of periodontal disease, the orthodontic treatment of temporomandibular joint disorder (TMD), integrated approaches with dental implant restoration, and the combined treatment of orthodontics and orthognathic surgery. The objective of orthodontic treatment for periodontal disease is to enhance health and stability. Commencement of clear aligner treatment is advised after the management of periodontal inflammation. The principle of applying gentle and gradual force must be adhered to. The extent of tooth movement should be reduced. The coverage of the aligner should be minimized. The time between aligner replacements should be extended. The objective of orthodontic treatment for TMD is to achieve occlusal-joint coordination, eliminate occlusal trauma, stabilize joint function, align the teeth, and improve occlusion. Clear aligner intervention is only suitable for stable TMD. Emphasis is placed on collaborative multidisciplinary management. Informed consent for orthodontic treatment of patients with TMD is crucial. The goal of combined orthodontic and restorative treatment is to integrate space and aesthetics. The digital design of clear aligners can optimize spacing, expand the area for dental implants, intrude over-erupted opposing teeth, upright tilted abutment teeth, ensure optimal gingival distance and mesiodistal diameter for dental implants, and when combined with smile design, it can significantly improve the pink and white aesthetic score. Precise orthodontic-surgical coordination is achieved for the combined treatment of severe skeletal malocclusion via orthodontics and orthognathic surgery. The digital design of clear aligners facilitates the alignment of the upper and lower dental arches more effectively compared with fixed orthodontic treatment. It effectively reduces chairside operation time and significantly improves treatment efficiency. At present, the application of clear aligners in multidisciplinary fields remains limited, and high-quality studies are lacking. We anticipate further high-quality research in the future to enhance our understanding of clear aligner treatment. This will facilitate the exact and rapid completion of clear aligner therapy for patients, resulting in aesthetically pleasing smiles.

Key words: clear aligner treatment, periodontitis, temporomandibular joint disorder, restoration, orthognathic surgery, digitalization

中图分类号: