华西口腔医学杂志 ›› 2025, Vol. 43 ›› Issue (5): 671-678.doi: 10.7518/hxkq.2025.2025013

• 临床研究 • 上一篇    下一篇

浓缩生长因子联合黏性骨在上前牙牙槽嵴保存术中的临床效果评价

魏雪琴, 张盛智, 巴凯()   

  1. 郑州大学第一附属医院口腔医学中心,郑州 450052
  • 收稿日期:2025-01-09 修回日期:2025-05-16 出版日期:2025-10-01 发布日期:2025-10-21
  • 通讯作者: 巴凯 E-mail:k.ba@msn.com
  • 作者简介:魏雪琴,副主任医师,博士,E-mail:dentistwendy@qq.com
  • 基金资助:
    河南省医学科技攻关计划软科学项目及联合共建项目(LHGJ20220361);河南省科技攻关项目(232102310492)

Evaluation of the clinical effect of concentrated growth factor combined with sticky bone in maxillary anterior alveolar ridge preservation

Wei Xueqin, Zhang Shengzhi, Ba Kai()   

  1. Dept. of Stomatology, The First Affiliated Hospital of Zhengzhou University, Zhengzhou 450052, China
  • Received:2025-01-09 Revised:2025-05-16 Online:2025-10-01 Published:2025-10-21
  • Contact: Ba Kai E-mail:k.ba@msn.com
  • Supported by:
    Soft Science Project and Joint Construction Project of Henan Medical Science and Technology Research Plan(LHGJ20220361);Henan Province Science and Technology Research Program(232102310492)

摘要:

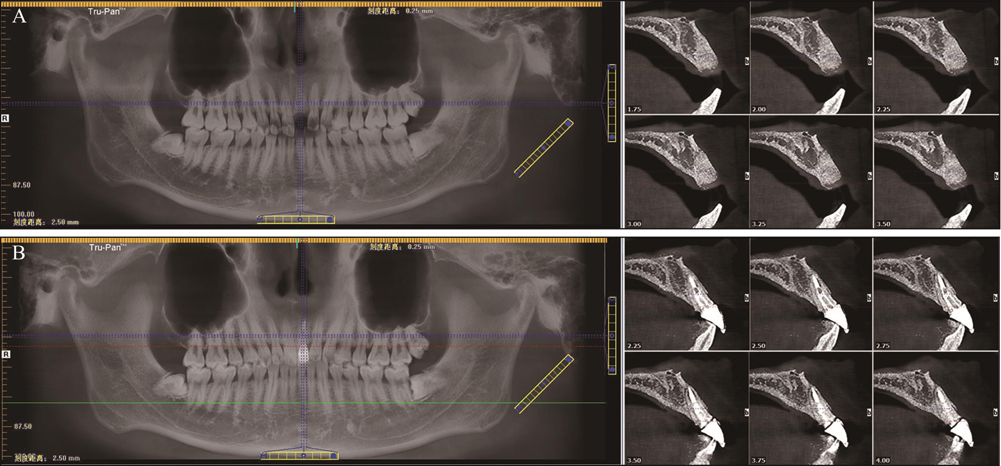
目的 比较浓缩生长因子(CGF)膜和Bio-Gide®胶原膜,分别与Bio-Oss®黏性骨联合用于上前牙牙槽嵴保存术(ARP)的临床效果。 方法 选取30例上前牙拔除后需要行ARP的患者,随机分为Bio-Gide组和CGF组。2组均在拔牙窝内严密充填Bio-Oss®黏性骨。Bio-Gide组用Bio-Gide®胶原膜覆盖于Bio-Oss®黏性骨上缘并封闭拔牙窝,CGF组用CGF膜覆盖并封闭拔牙窝。对比2组术后10 d软组织愈合情况,术后即刻及6个月牙槽嵴骨宽度及高度变化,以及术后6个月医患满意度。 结果 术后6个月,2组牙槽嵴骨宽度及高度变化差异无统计学意义(P>0.05)。但CGF组术后软组织愈合情况及医患满意度方面表现更优,差异有统计学意义(P<0.05)。 结论 与Bio-Gide®胶原膜相比,CGF膜与Bio-Oss®黏性骨联合应用可使上前牙ARP术后软组织愈合更好、医患满意度更高。

关键词: 牙槽嵴保存, 黏性骨, 浓缩生长因子, 胶原膜, 种植

Abstract:

Objective To compare the clinical effects of concentrated growth factor (CGF) membrane and Bio-Gide ® collagen membrane, combined with Bio-Oss ® sticky bone respectively in alveolar ridge preservation (ARP) of maxillary anterior teeth. Methods Thirty patients who needed alveolar ridge preservation after maxillary anterior tooth extraction were selected and randomly assigned to the Bio-Gide group and the CGF group. In both groups, the extraction sockets were tightly filled with the Bio-Oss® sticky bone. In the Bio-Gide group used Bio-Gide® collagen membrane to cover the upper edge of the Bio-Oss® sticky bone and closed the wound. The CGF group, the CGF membrane was covered on the upper edge of the Bio-Oss® sticky bone and the wound was closed. The soft tissue wound healing status at 10 days after ARP, the changes in alveolar ridge height and width immediately after ARP and at 6 months after ARP, and the doctor-patient satisfaction at 6 months after ARP were compared and evaluated between the two groups. Results At 6 months after ARP, there was no statistically significant difference in the changes of alveolar bone width and height between the two groups (P>0.05). However, the CGF group showed better performance in soft tissue healing after ARP and doctor-patient satisfaction, and the differences were statistically significant (P<0.05). Conclusion Compared with the Bio-Gide® collagen membrane, the combined application of CGF membrane and Bio-Oss® sticky bone can lead to better soft tissue healing after ARP of maxillary anterior teeth and higher doctor-patient satisfaction, showing obvious advantages in ARP of maxillary anterior teeth.

Key words: alveolar ridge preservation, sticky bone, concentrated growth factor, collagen membrane, implant

中图分类号: