华西口腔医学杂志 ›› 2026, Vol. 44 ›› Issue (2): 180-187.doi: 10.7518/hxkq.2026.2025155

• 儿童口腔专栏 • 上一篇    

第二乳磨牙金属预成冠修复后相邻第一恒磨牙异位萌出的相关因素分析

戴微微(), 黄淑慧, 张紫丹, 孙潇帅, 张峰()   

  1. 浙江大学医学院附属儿童医院口腔科 国家儿童健康与临床医学研究中心,杭州 310003
  • 收稿日期:2025-04-21 出版日期:2026-04-01 发布日期:2026-03-31
  • 通讯作者: 张峰 E-mail:6515178@zju.edu.cn;zfwl@zju.edu.cn
  • 作者简介:戴微微,主治医师,硕士,E-mail:6515178@zju.edu.cn
  • 基金资助:
    浙江省基础公益研究计划项目(LGF20H140008)

Analysis of associated factors for the ectopic eruption of adjacent first permanent molars after stainless steel crown restoration of second primary molars

Dai Weiwei(), Huang Shuhui, Zhang Zidan, Sun Xiaoshuai, Zhang Feng()   

  1. Dept. of Stomatology, Children’s Hospital, Zhejiang University School of Medicine, National Clinical Research Center for Child Heath, Hangzhou 310003, China
  • Received:2025-04-21 Online:2026-04-01 Published:2026-03-31
  • Contact: Zhang Feng E-mail:6515178@zju.edu.cn;zfwl@zju.edu.cn
  • Supported by:
    Basic Public Welfare Technology Research Program of Zhejiang Province(LGF20H140008)

摘要:

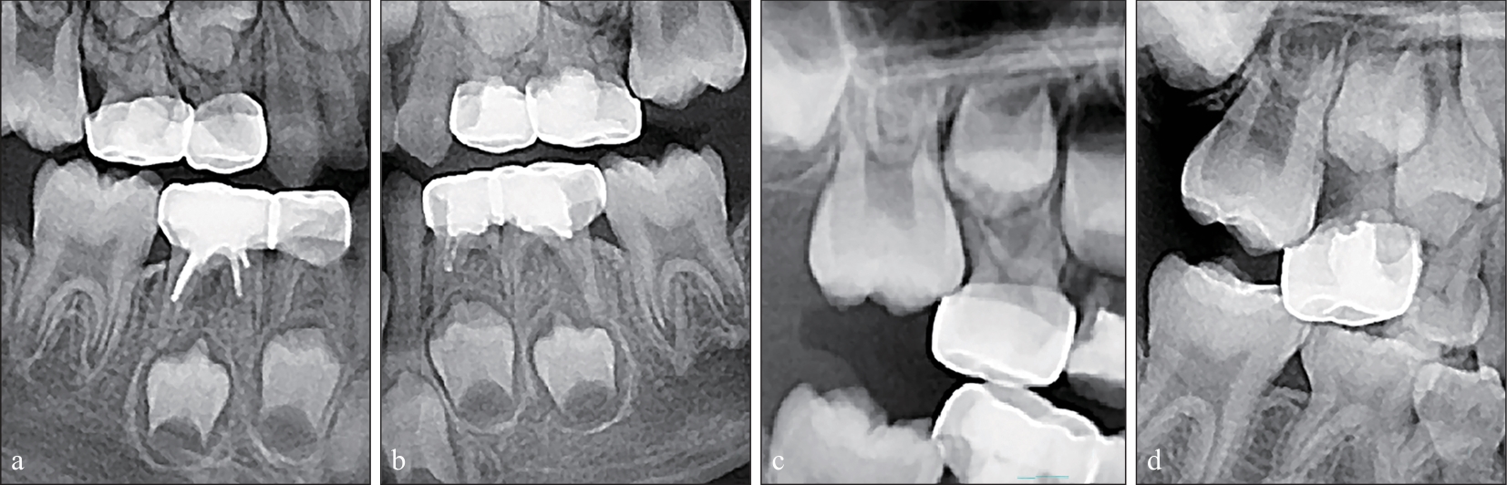
目的 分析第二乳磨牙行金属预成冠修复后,相邻第一恒磨牙发生异位萌出的相关因素。 方法 试验组纳入19例患者共25颗第二乳磨牙,均为行金属预成冠修复且相邻第一恒磨牙发生异位萌出者;对照组纳入19例患者共29颗第二乳磨牙,均为行金属预成冠修复且相邻第一恒磨牙正常萌出者。对所有研究对象的曲面体层片进行分析,评价患者年龄、性别、多象限发生第一恒磨牙异位萌出情况、预成冠远中台阶情况,测量第一恒磨牙倾斜角度、第二乳磨牙倾斜角度及两牙间牙体长轴交角。使用Pearson卡方检验及成组t检验对数据进行统计学分析。 结果 预成冠远中台阶与相邻第一恒磨牙发生异位萌出呈正相关关系,OR=9.14(95%置信区间为1.06~79.26,P< 0.05)。与对照组比较,试验组上颌第一恒磨牙与第二乳磨牙牙体长轴夹角(均值为6.51°±4.46°)偏小(P<0.05),下颌第一恒磨牙倾斜角度(均值为43.66°±10.56°)更偏近中(P<0.05),下颌第一恒磨牙与第二乳磨牙牙体长轴夹角(均值为25.39°±10.79°)显著增大(P<0.05)。 结论 在第二乳磨牙行金属预成冠修复前,需评估对应第一恒磨牙发生异位萌出的风险,尤其当患者已有其余象限发生第一恒磨牙异位萌出者。当上颌第一恒磨牙和第二乳磨牙的牙体长轴夹角过小,下颌第一恒磨牙倾斜角度过大,或下颌第一恒磨牙与第二乳磨牙的牙体长轴夹角过大时,应尽量减少使用金属预成冠修复,或采取相应预防措施,尤其要注意预成冠修复时远中边缘的适应性,避免远中面台阶形成。

关键词: 金属预成冠, 第一恒磨牙异位萌出, 曲面体层片

Abstract:

Objective This study aims to analyze the related factors of ectopic eruption of adjacent first permanent molars after the restoration of stainless-steel crowns of the second primary molars. Methods The experimental group consisted of 19 patients, and 25 second primary molars with stainless steel crown restorations were examined. The patients presented with ectopic eruption of the corresponding first permanent molars. The control group included 19 patients, from whom 29 second primary molars with stainless steel crown restorations were examined. Notably, the corresponding first permanent molars erupted normally. The panoramic radiographs of all participants were analyzed, and va-riables, such as patient age, gender, ectopic eruption positions of the first permanent molars, and the distal margi-nal adaptation of the stainless-steel crowns, were asses-sed. The tilt angles of the first permanent molars, second primary molars, and the intersection angle between the long axes of the two teeth were measured. Data were subjected to statistical analysis using Pearson’s chi-square test and independent t-tests. Results A significant positive correlation was identified between the distal marginal adaptation of the stainless-steel crowns and the ectopic eruption of the corresponding first permanent molar (OR=9.14, 95% CI: 1.06-79.26, P<0.05). Compared with the control group, the experimental group exhibited a smaller angle between the long axes of the maxillary first permanent molar and the second primary molar (6.51°±4.46°, P<0.05). Additionally, the mandibular first permanent molar had a more pronounced inclination (43.66°±10.56°, P<0.05), and the angle between the long axes of the mandibular first permanent molar and the second primary molar was significantly larger (25.39°±10.79°, P<0.05) in the experimental group. Conclusion Prior to the restoration of second primary molars with stainless steel crowns, evaluating the potential risk of ectopic eruption of the corresponding first permanent molar is essential. This step is particularly important when ectopic eruption is present in the remaining quadrants. When the angle between the long axes of the maxillary first permanent molar and the second primary molar is excessively small, the inclination of the mandibular first permanent molar is extremely large, or the angle between the long axes of the mandibular first permanent molar and the second primary molar is extremely large, the use of stainless-steel crowns should be minimized, or preventive measures should be considered. Special attention must be given to the distal marginal adaptation during stainless steel crown restoration to prevent the formation of steps on the distal surfaces.

Key words: stainless steel crown, ectopic eruption of the first permanent molar, panoramic radiograph

中图分类号: