华西口腔医学杂志 ›› 2025, Vol. 43 ›› Issue (6): 819-828.doi: 10.7518/hxkq.2025.2025044

• 基础研究 • 上一篇    下一篇

聚己内酯—聚乙二醇—血小板浓缩生长因子复合支架的制备及其对人牙周膜干细胞生物学特性的影响

高丽1,2(), 赵明月1,2, 杨顺1, 王茹楠1, 程佳佳1,2, 陈广生1,2   

  1. 1.遵义医科大学口腔医学院,遵义 563099
    2.遵义医科大学附属口腔医院牙周科,遵义 563099
  • 收稿日期:2025-02-06 修回日期:2025-06-02 出版日期:2025-12-01 发布日期:2025-11-27
  • 通讯作者: 高丽 E-mail:467278759@qq.com
  • 作者简介:高丽,副教授,硕士,E-mail:467278759@qq.com
  • 基金资助:
    贵州省卫健委科学技术基金(gzwkj2023-202);国家自然科学基金(82060204);贵州省科技计划项目[基金黔科合基础—ZK(2021)一般437]

Preparation of polycaprolactone-polyethylene glycol-concentrated growth factor composite scaffolds and the effects on the biological properties of human periodontal ligament stem cells

Gao Li1,2(), Zhao Mingyue1,2, Yang Shun1, Wang Runan1, Cheng Jiajia1,2, Chen Guangsheng1,2   

  1. 1.School of Stomatology, Zunyi Medical University, Zunyi 563099, China
    2.Dept. of Periodontology, Affiliated Stomatological Hospital of Zunyi Medical University, Zunyi 563099, China
  • Received:2025-02-06 Revised:2025-06-02 Online:2025-12-01 Published:2025-11-27
  • Contact: Gao Li E-mail:467278759@qq.com
  • Supported by:
    National Natural Science Foundation of China(82060204);Science and Technology Fund Project of Guizhou Provincial Health and Health Commission(gzkj2023-202);Science and Technology Department of Guizhou Pro-vince(ZK[2021]437)

摘要:

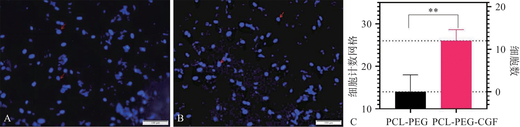
目的 探究负载了血小板浓缩生长因子(CGF)的聚己内酯(PCL)—聚乙二醇(PEG)支架对人牙周膜干细胞(hPDLSCs)黏附、增殖及成骨分化能力的影响。 方法 通过浸入及冻干法制备PCL-PEG-CGF复合支架,观察复合支架的显微结构并检测其机械性能及生物相容性。酶消化法培养hPDLSCs,并通过流式细胞术鉴定hPDLSCs。选取第三代hPDLSCs,分别通过CCK-8实验、4’,6-二脒基-2-苯基吲哚(DAPI)染色、碱性磷酸酶(ALP)染色、茜素红染色及Western blot实验检测PCL-PEG-CGF复合支架对hPDLSCs黏附、增殖及成骨分化能力的影响及成骨相关蛋白[Runt相关转录因子2(Runx2)、ALP、骨形态发生蛋白2(BMP2)]的表达情况。 结果 PCL-PEG-CGF复合支架在扫描电镜下呈孔隙大小不等的蜂窝状结构,其亲水性6 s时θ角接近0°,弹性模量为(4.590 0±0.149 3)MPa,其亲水性、断裂拉伸强度及断裂延伸率均与PCL-PEG支架相似;hPDLSCs在PCL-PEG-CGF复合支架上的黏附能力明显优于PCL-PEG支架(P<0.01),与对照组相比,第3、5、7天时各实验组的hPDLSCs增殖速率显著增加(P<0.01),且PCL-PEG-CGF复合支架与其余组间差异有统计学意义(P<0.01);PCL-PEG-CGF复合支架组ALP活性明显升高(P<0.05),矿化结节数量明显增加及成骨相关蛋白(Runx2、BMP2、ALP)的表达均明显增强(P<0.05)。 结论 PCL-PEG-CGF复合支架具有较好的机械性能及生物相容性,可促进hPDLSCs黏附及增殖,并通过增强成骨相关蛋白的表达促进hPDLSCs的成骨分化能力。

关键词: 血小板浓缩生长因子, 聚己内酯—聚乙二醇—血小板浓缩生长因子复合支架, 聚己内酯—聚乙二醇支架, 人牙周膜干细胞, 细胞增殖, 成骨分化

Abstract:

Objective This study investigated the effects of a polycaprolactone (PCL)-polyethylene glycol (PEG) scaffold incorporated with concentrated growth factor (CGF) on the adhesion, proliferation, and osteogenic differentiation of human periodontal ligament stem cells (hPDLSCs). Methods The PCL-PEG-CGF composite scaffold was fabricated using an immersion and freeze-drying technique. Its microstructure, mechanical properties, and biocompatibility were systematically characterized. The hPDLSCs were isolated through enzymatic digestion, and the hPDLSCs were identified through flow cytometry. Third-passage hPDLSCs were seeded onto the composite scaffolds, and their adhesion, proliferation and osteogenic differentiation were assessed using CCK-8 assays, 4’,6-diamidino-2-phenylindole (DAPI) staining, alkaline phosphatase (ALP) staining, alizarin red staining, and Western blot analysis of osteogenesis-related proteins [Runt-related transcription factor 2 (Runx2), ALP, and morphogenetic protein 2 (BMP2)]. Results Scanning electron microscopy revealed that the PCL-PEG-CGF composite scaffold exhibited a honeycomb-like structure with heterogeneous pore sizes. The composite scaffold exhibited excellent hydrophilicity, as evidenced by a contact angle (θ) approaching 0° within 6 s. Its elastic modulus was measured at (4.590 0±0.149 3) MPa, with comparable hydrophilicity, fracture tensile strength, and fracture elongation to PCL-PEG scaffold. The hPDLSCs exhibited significantly improved adhesion to the PCL-PEG-CGF composite scaffold compared with the PCL-PEG scaffold (P<0.01). Additionally, cell proliferation was markedly improved in all the experimental groups on days 3, 5, and 7 (P<0.01), and statistically significant differences were found between the PCL-PEG-CGF group and other groups (P<0.01). The PCL-PEG-CGF group showed significantly elevated ALP activity (P<0.05), increased mineralization nodule formation, and upregulated expression of osteogenic-related proteins (Runx2, BMP2 and ALP; P<0.05). Conclusion The PCL-PEG-CGF composite scaffold exhibited excellent mechanical properties and biocompatibility, enhancing the adhesion and proliferation of hPDLSCs and promoting their osteogenic differentiation by upregulating osteogenic-related proteins.

Key words: concentrated growth factor, polycaprolactone-polyethylene glycol-concentrated growth factor composi-te scaffold, polycaprolactone-polyethylene glycol scaffold, human periodontal ligament stem cells, cell proliferation, osteogenic differentiation

中图分类号: