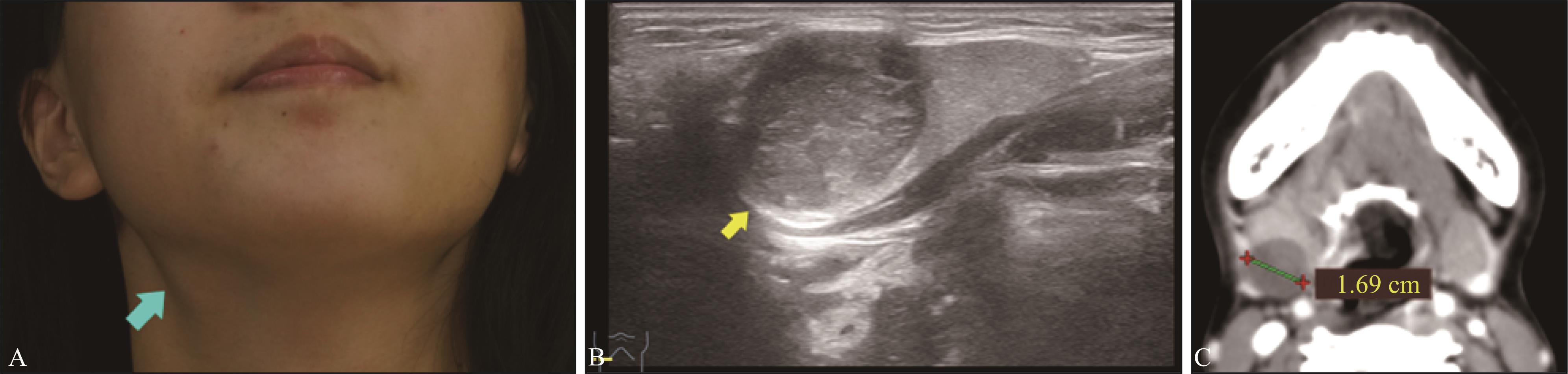
| [1] |
Gu LY, Yin CL, Jia TY, et al. Robotic surgery in China[J]. Innov ation, 2023, 4(5): 100499.
|
| [2] |
Yang TL, Li H, Holsinger FC, et al. Submandibular gland resection via the trans-hairline approach: a preclinical study of a novel flexible single-port surgical system and the surgical experiences of standard multiarm robotic surgical systems[J]. Head Neck, 2019, 41(7): 2231-2238.
|
| [3] |
Yang TL. Robotic surgery for submandibular gland resection through a trans-hairline approach: the first human series and comparison with applicable approaches[J]. Head Neck, 2018, 40(4): 793-800.
|
| [4] |
Jung SW, Kim YK, Cha YH, et al. Robot-assisted submandibular gland excision via modified facelift incision[J]. Maxillofac Plast Reconstr Surg, 2017, 39(1): 25.
|
| [5] |
Lee HS, Kim D, Lee SY, et al. Robot-assisted versus endoscopic submandibular gland resection via retroauricular approach: a prospective nonrandomized study[J]. Br J Oral Maxillofac Surg, 2014, 52(2): 179-184.
|
| [6] |
Fan SB, Xiong SW, Li ZH, et al. Pyeloplasty with the kangduo surgical robot vs the da vinci Si robotic system: preliminary results[J]. J Endourol, 2022, 36(12): 1538-1544.
|
| [7] |
Li X, Xu W, Fan S, et al. Robot-assisted partial nephrectomy with the newly developed KangDuo surgical robot versus the da Vinci Si Surgical System: a double-center prospective randomized controlled noninferiority trial[J]. Eur Urol Focus, 2023, 9(1): 133-140.
|
| [8] |
Yang F, Alkebsi K, Chen S, et al. Gasless endoscopic submandibular gland excision through hairline approach[J]. J Craniofacial Surg, 2023, 34(5): 1563-1569
|
| [9] |
孙坚. 下颌下腺切除术手术切口的探讨[J]. 中国口腔颌面外科杂志, 2008, 6(3): 210-211.
|
|
Sun J. Evaluaion of surgical approaches for removal of the submandibular gland[J]. China J Oral Maxillofac Surg, 2008, 6 (3): 210-211.
|
| [10] |
刘楠, 张罗, 成道一, 等. 内镜下经口底入路行颌下腺切除术[J]. 口腔颌面外科杂志, 2001,12(4): 283-285.
|
|
Liu N, Zhang L, Cheng DY, et al. Endoscopic resection of submandibular gland through mouth floor approach[J]. J Oral Maxillofac Surg, 2001, 12(4): 283-285.
|
| [11] |
Dai XF, Fan SB, Hao H, et al. Comparison of KD-SR-01 robotic partial nephrectomy and 3D-laparoscopic partial nephrectomy from an operative and ergonomic perspective: a prospective randomized controlled study in porcine models[J]. Robotics Computer Surgery, 2021, 17(2): e2187.
|
| [12] |
Seif-Elnasr M, Magdy EA, Fung E, et al. Intraoral microscopic versus robot-assisted sialolithotomy and sia-lendoscopy for submandibular stones[J]. Laryngoscope, 2024, 134(5): 2170-2176.
|
| [13] |
Matsuyama T, Endo H, Yamamoto H, et al. Outcomes of robot-assisted versus conventional laparoscopic low anterior resection in patients with rectal cancer: propensity-matched analysis of the National Clinical Database in Japan[J]. BJS Open, 2021, 5(5): zrab083.
|
| [14] |
Park YM, Koh YW. Current issues in treatment of paro-tid gland cancer and advanced surgical technique of robotic parotidectomy[J]. Curr Oncol Rep, 2022, 24(2): 203-208.
|
| [15] |
Lee HS, Park DY, Hwang CS, et al. Feasibility of robot-assisted submandibular gland resection via retroauricular approach: preliminary results[J]. Laryngoscope, 2013, 123(2): 369-373.
|
| [16] |
梁立民, 林小臻, 邵小钧, 等. 手术机器人辅助经口入路下颌下腺切除术二例[J]. 中华口腔医学杂志, 2019, 54(4): 263-265.
|
|
Liang LM, Lin XZ, Shao XJ, et al. Trans-oral robotic submandibular gland removal[J]. Chin J Stomatol, 2019, 54(4): 263-265.
|
| [17] |
Zhou Y, Cai Y, Sun R, et al. Single-port transaxillary robotic submandibular gland excision: a case report[J]. Asian J Surg, 2024: S1015-9584(24)02163-8.
|
| [18] |
Lazzeroni M, Buccichini G, Suleiman M, et al. Transo-ral robotic surgery versus conventional transoral surgery for submandibular stones: systematic review and Meta-analysis[J]. Am J Otolaryngol, 2025, 46(4): 104647.
|