华西口腔医学杂志 ›› 2025, Vol. 43 ›› Issue (5): 742-747.doi: 10.7518/hxkq.2025.2024414

• 临床病例 • 上一篇    

经舌腹入路取出舌根内鱼刺异物1

李成焱1(), 赵双元1, 李一1, 韩波2, 张博文2()   

  1. 1.口腔疾病防治全国重点实验室 国家口腔医学中心 国家口腔疾病临床医学研究中心 四川大学华西口腔医院头颈肿瘤外科,成都 610041
    2.口腔疾病防治全国重点实验室 国家口腔医学中心 国家口腔疾病临床医学研究中心 四川大学华西口腔医院舒适化治疗中心/日间手术中心,成都 610041
  • 收稿日期:2024-11-12 修回日期:2025-03-08 出版日期:2025-10-01 发布日期:2025-10-21
  • 通讯作者: 张博文 E-mail:lcyan1101@163.com;405107934@qq.com
  • 作者简介:李成焱,硕士,E-mail:lcyan1101@163.com
  • 基金资助:
    国家自然科学基金青年项目(82103673)

Removal of a fishbone foreign body from the root of the tongue using a translingual ventral approach: case report

Li Chengyan1(), Zhao Shuangyuan1, Li Yi1, Han Bo2, Zhang Bowen2()   

  1. 1.State Key Laboratory of Oral Diseases & National Center for Stomatology & National Clinical Research Center for Oral Diseases & Dept. of Head and Neck Oncology, West China Hospital of Stomatology, Sichuan University, Chengdu 610041, China
    2.State Key Laboratory of Oral Diseases & National Center for Stomatology & National Clinical Research Center for Oral Diseases & Dept. Comfort Treatment Center/Day Surgery Center, West China Hospital of Stomatology, Sichuan University, Chengdu 610041, China
  • Received:2024-11-12 Revised:2025-03-08 Online:2025-10-01 Published:2025-10-21
  • Contact: Zhang Bowen E-mail:lcyan1101@163.com;405107934@qq.com
  • Supported by:
    National Natural Science Foundation of China Youth Program(82103673)

摘要:

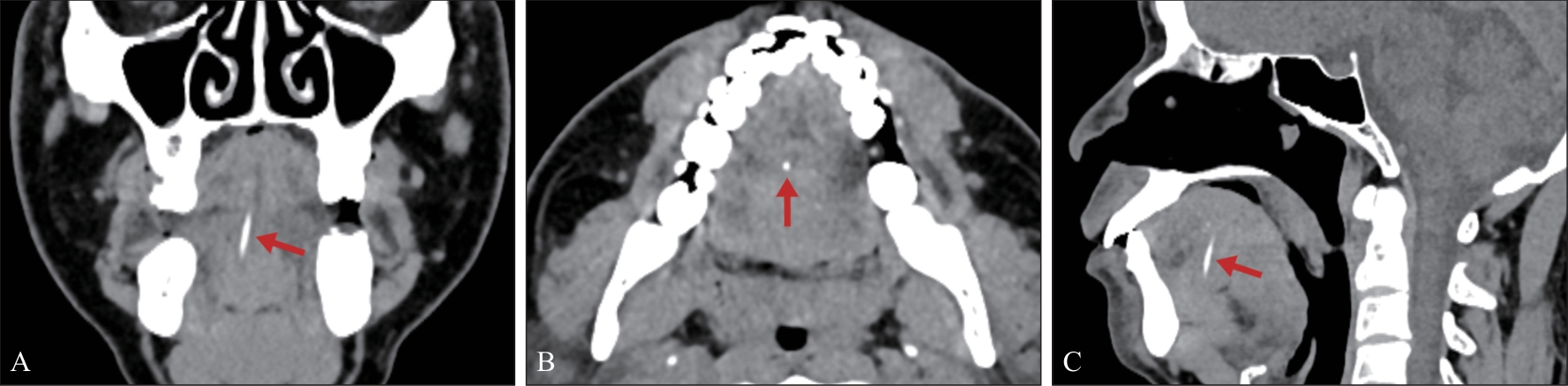
舌内异物在临床上较为罕见,其精确定位和适宜的手术路径选择对于降低手术风险和减少术后并发症至关重要。本文报道1例在影像学精确定位辅助下经舌腹入路取出舌根鱼刺异物的病例。

关键词: 舌, 异物, 鱼刺, 舌腹入路

Abstract:

Foreign bodies in the tongue are rare in clinical practice. Accurate localization and appropriate surgical path selection are essential to reduce surgical risk and postoperative complications. This paper reports a case in which the fishbone foreign body at the base of tongue was removed using a translingual ventral approach aided with imaging localization.

Key words: tongue, foreign body, fishbone, translingual ventral approach

中图分类号: