华西口腔医学杂志 ›› 2026, Vol. 44 ›› Issue (1): 144-151.doi: 10.7518/hxkq.2025.2025111

• 临床研究 • 上一篇    

乳尖牙双根的临床研究

徐琳1(), 邱芬芳2, 束丽红2, 孟姗2, 蔡晶2()   

  1. 1.苏州卫生职业技术学院附属口腔医院儿童口腔科,苏州 215002
    2.苏州口腔医院儿童口腔科,苏州 215000
  • 收稿日期:2025-03-19 出版日期:2026-02-01 发布日期:2026-02-02
  • 通讯作者: 蔡晶 E-mail:936608344@qq.com;372439408@qq.com
  • 作者简介:徐琳,医师,硕士,E-mail:936608344@qq.com

Clinical study on bi-rooted primary canines

Xu Lin1(), Qiu Fenfang2, Shu Lihong2, Meng Shan2, Cai Jing2()   

  1. 1.Dept. of Pediatric Dentistry, The Affiliated Stomatological Hospital of Suzhou Vocational Health College, Suzhou 215002, China
    2.Dept. of Pediatric Dentistry, Suzhou Stomatological Hospital, Suzhou 215000, China
  • Received:2025-03-19 Online:2026-02-01 Published:2026-02-02
  • Contact: Cai Jing E-mail:936608344@qq.com;372439408@qq.com

摘要:

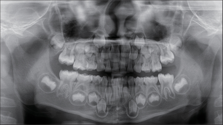
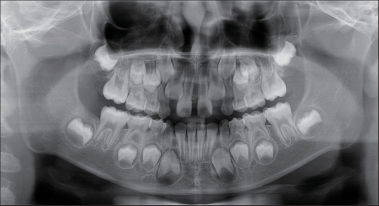
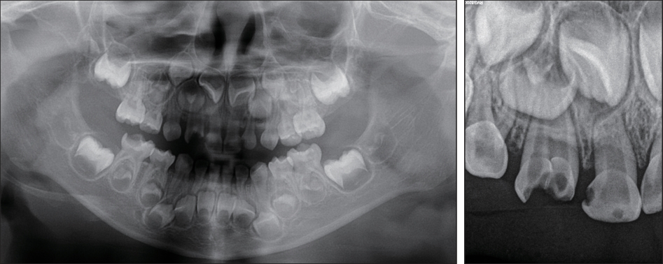
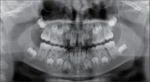
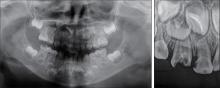
目的 应用口腔全景曲面体层片研究乳尖牙双根的发生率和特征。 方法 收集3~9岁儿童的口腔全景曲面体层片,共纳入100 976张,观察记录乳尖牙双根的发生情况和分布规律。应用SPSS 25.0统计软件分析所得的数据。查阅乳尖牙双根的报道文献,记录患者资料。 结果 乳尖牙双根的发生率为0.37‰(37/100 976),其中男性发生率为0.59‰(32/54 276),女性发生率为0.12‰(5/46 700),男女间差异有统计学意义(χ2 =15.955,P=0.000)。37例儿童的乳尖牙双根发生数目以1~2颗为主,其中1颗者11例(29.73%),2颗者18例(48.65%)。76颗乳尖牙双根的牙位分布左侧和右侧间差异无统计学意义(χ2 =1.316,P=0.251),上颌和下颌间差异有统计学意义(χ2 =15.213,P=0.000),单侧和双侧间差异有统计学意义(χ2 =6.083,P=0.014)。 结论 乳尖牙双根罕见,发生数目多为1~2颗,男性多于女性,上颌多于下颌,双侧发生多于单侧发生。

关键词: 乳尖牙, 双根牙, 牙根变异, 临床研究

Abstract:

Objective The incidence and clinical characteristics of bi-rooted primary canines were investigated by performing oral panoramic radiographs. Methods A total of 100 976 oral panoramic radiograph of subjects aged 3-9 years old were collected, and the incidence and distribution of bi-rooted primary canines were observed and recorded. The obtained data were analyzed using SPSS 25.0 statistical software, and the literature on bi-rooted primary canine was reviewed to record patient’s data. Results The incidence of bi-rooted primary canines was 0.37‰ (37/100 976), of which 0.59‰ (32/54 276) occurred in males and 0.12‰ (5/46 700) in females. Statistically significant difference was observed between males and females (χ2 =15.955, P=0.000). The number of bi-rooted primary canine in 37 children was mainly 1-2. Among them, 11 subjects (29.73%) had one bi-rooted primary canine, and 18 subjects (48.65%) had two bi-rooted primary canines. The tooth position distribution of 76 bi-rooted primary canines showed no significant difference between the left and right sides (χ2 =1.316, P=0.251). However, significant difference was found between the upper and lower jaws (χ2 =15.213, P=0.000) and between the unilateral and bilateral sides (χ2 =6.083, P=0.014). Conclusion Bi-rooted primary canines are rare, mostly occur in 1-2 teeth, and are more common in males than females, in the upper jaw than in the lower jaw, and on both sides than on one side.

Key words: primary canine, bi-rooted tooth, root anomaly, clinical study

中图分类号: